Не мог даже есть: Падение на подлокотник дивана закончилось для юного москвича гематомой в кишечнике
Врачи больницы Сперанского спасли мальчика с гематомой после падения на диван

Обложка © Shutterstock / FOTODOM / Ground Picture
Хирурги Детской городской клинической больницы № 9 имени Сперанского спасли мальчика, который не мог есть и пить после падения на подлокотник дивана. Сам инцидент приключился несколько дней назад, однако боль и дискомфорт возникли лишь спустя некоторое время. Об этом Life.ru рассказали в пресс-службе Депздрава Москвы.

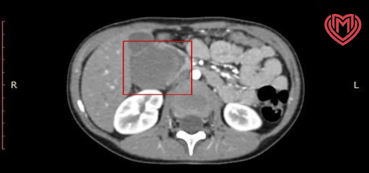
Гематома перекрыла просвет. Фото © Предоставлено Life.ru пресс-службой Депздрава Москвы
Причиной такого состояния стала обширная гематома размером 52 на 48,5 миллиметра, образовавшаяся после падения. По словам родителей, несколько дней назад ребёнок, увлёкшись активными играми, неудачно приземлился телом на жёсткий подлокотник дивана. Внешних повреждений никаких не было, да и мальчик не жаловался. Родители с облегчением выдохнули, но спустя двое суток появились тревожные признаки.
«Во время проведения гастроскопии в просвете двенадцатиперстной кишки мы обнаружили непроходимость. Гастроскоп размером всего 3,5 мм не смог «пройти» из-за наросшей гематомы, перекрывшей просвет двенадцатиперстной кишки. Дело дошло до того, что ребёнок уже не мог есть твёрдую пищу и воду пил лишь малыми порциями», — рассказал детский хирург Руслан Молотов.
Лапароскопическая операция выявила, что скопление крови развилось между слоями кишки, чудом не повредив её стенку. Хирурги аккуратно удалили гематому.
Всего через неделю юный пациент, полностью здоровый, вернулся домой.
Ранее петербургские врачи спасли жизнь грудничку с пороком сердца. Перед операцией врачи провели несколько консилиумов для выбора наиболее безопасной тактики лечения. Само хирургическое вмешательство длилось два часа. Специалисты успешно справились со своей задачей

